Acceptable Impressions
Both upper and lower impressions are required for processing a case. Impression material should have a longer shelf life, should be able to capture details and withstand multiple pours without damaging the details. A number of materials can be used. Polyvinyl siloxane impression materials are the recommended materials of choice. Two step PVS impression material gives the best results, though one step PVS can also be used.

Selection of Tray
Selection of an appropriate tray is critical for excellent quality impression. Metal trays are recommended for taking a good study impression that can withstand multiple pours without affecting the impression configuration. A tray should be such that it accommodates the entire patient?s dentition and para-dental tissue details. All morphological details should be within the confines of the tray. Any part of dentition hanging out of the tray confines will be removed and will not be present in the aligner.

Bite Registration
Bite registration is essential to establish patient?s occlusion in the laboratory so that the treatment which is carried out is within parameters of initial occlusion. It also helps during the set-up of individual arch dentition in accordance with the requirement set forth by the DIAGNOSIS and Treatment Form. The material of choice is PVS bite registration material as this gives excellent details of the occlusal contacts and also the properties of the material make it sturdy & resistant to distortion. Simple bite registration can be taken by spreading the bite registration material over the patient?s teeth and asking him to bite in normal occlusal position. A triple tray can also be used to register the bite of the patient.

Acceptable Bite Registration
A good bite registration which reproduces the inter arch relationship is essential. Complete contact information should be recorded clearly. It should be a single piece record which includes the contact information for both right and left quadrants.

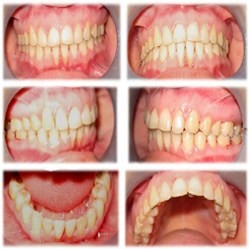
Images / Photos
Both intra oral and extra oral photographs of the patient are required for quality verification of the cast and determination of permissible movement that can be incorporated without affecting the profile of patient. Following are the perspectives from which these photographs need to be taken
- 5 Intra oral (upper & lower occlusal, frontal, right & left buccal in occlusion)
- 3 extra oral (frontal profile, right lateral profile and left lateral profile)
All pictures should be recent and clearly represent the details of the patient dentition and profile. Individual pictures can be sent though, it is preferred if a picture template is used to combine all the pictures on a single page print out.
