Dental Implants


[havnor_section_title title_text=”Dental Implants” title_color=”#ffffff”]

Scientifically researched and tested, dental implants replace one or more lost teeth or hold dentures securely in the mouth. The implant takes over the function of the tooth root and thus acts as a “post” for the denture. Last but not least, dental implants are becoming ever more popular because of the convincing success rates of over 96%.

Natural Tooth

2017-02-28_Straumann_Patient_Lit_A3Page.pdf_Adobe_Acrobat_Pro_Asized

Dental Implant with Crown

2017-02-28_Straumann_Patient_Lit_A3Page.pdf_Adobe_Acrobat_Pro_B_sized

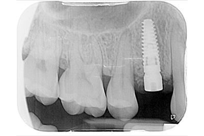
A dental implant is a small screw made of titanium, which is a well tolerated metal that integrates readily with the surrounding bone. Intolerance occurs only in very rare cases. It is inserted by a short operation under local anaesthetic. It knits painlessly with the bone, thus forming a solid basis for long-term stability.

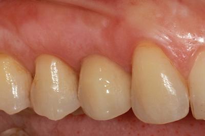
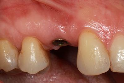
Missing single tooth: A dental implant and ceramic crown are the most aesthetic way of filling the gap. Grinding the neighbouring teeth is not necessary for this procedure.

Missing single tooth: A dental implant and ceramic crown are the most aesthetic way of filling the gap. Grinding the neighbouring teeth is not necessary for this procedure.

Missing single tooth: A dental implant and ceramic crown are the most aesthetic way of filling the gap. Grinding the neighbouring teeth is not necessary for this procedure.

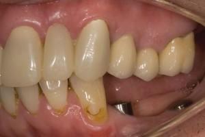
Alternatively, fixed crown and bridgework could be used in jaws with no teeth at all, when rows of teeth that are screwed in place, offering the ultimate aesthetic appearance in function and comfort. The following example is where a simple fixed bridge was constructed on two implants to replace three teeth on the patient’s lower left hand side:

[havnor_section_title title_text=”A fixed 3-Unit Bridge apon 2 Implants:”]

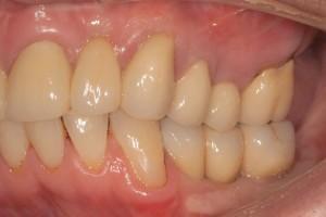
Before implants placement and correction of gum line and ready for implants.

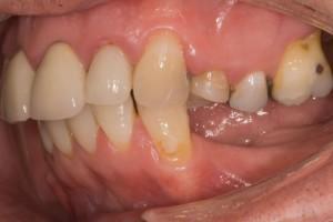
Implants in position and waiting on integration – 4 to 6 Month

Radiograph of permanent bridge on implants.

Completed crown and bridgework on implants